Nessun risultato di contenuto corrisponde alla tua parola chiave.
Contenuto
Sei uscito con successo.
Non sei ancora registrato?
Ennovate®
Report di casi clinici, documenti scientifici e articoli
Cliccando 'Confirm" dichiari di essere un operatore sanitario.
Se sei un paziente o un giornalista visita le pagine a te dedicate.
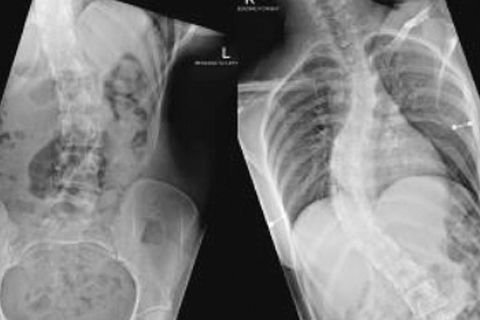
Conferma Sì, sono un operatore sanitario. Cancella No, non sono un operatore sanitario.Caso clinico di Ennovate® in scoliosi idiopatica complessa di un adolescente, eseguito da Bronek Boszczyk e Oded Hershkovich nel Centro medico della Queen, Nottingham, Regno Unito. Il caso è stato presentato durante il Nspine Meeting 2018 in Svizzera e pubblicato anche in Spinal News International a giugno 2018.
La donazione del corpo è alla base di programmi di trapianto, fondati sui diritti dei riceventi e dei donatori. Tuttavia, se la finalità non è rivolta all'assistenza sanitaria, la normativa è differente se si tratta di soggetti vivi o deceduti. Le "tecniche di imaging" generano file digitali contenenti il "corpo virtuale" del paziente, una nuova possibilità: la donazione virtuale del corpo, che non è regolamentata in Spagna e non sarebbe conforme ai requisiti legali per altre modalità di donazione.
Scopri di più su ELSEVIERI risultati di un'analisi sperimentale combinata, micro-TC e micro-analisi degli elementi, dimostrano che l'ancoraggio dello strumentario per le barre di viti peduncolari nella colonna vertebrale degli anziani con scarsa qualità ossea rimane una sfida. Il nostro studio mira a valutare come l'ancoraggio osseo della vite sia influenzato dal design della vite, dalla qualità dell'osso, dalle condizioni di carico e dalle tecniche di cementazione.
Per saperne di più sulla ricerca su ossa e articolazioni
L'ancoraggio dello strumentario per viti peduncolari nella colonna vertebrale degli anziani con scarsa qualità ossea rimane difficile. In questo studio sono stati utilizzati modelli di microelementi finiti per valutare l'influenza specifica del design della vite e il contributo relativo della densità ossea locale alla meccanica di fissazione. Gli impianti analizzati erano viti peduncolari Ennovate®. I risultati sono stati pubblicati sul Journal of Biomechanics nel dicembre 2017 e sono disponibili anche presso ELSEVIER.
Per saperne di più sul Journal of BiomechanicsLa strumentazione dorsale posteriore con sistemi di barre e viti peduncolari è ancora lo standard di riferimento per le procedure di fusione spinale. La vite peduncolare stessa svolge un ruolo importante in questa struttura di stabilizzazione per quanto riguarda l'ancoraggio osseo e il carico delle vertebre vicine. Tuttavia, la rottura delle viti peduncolari è riportata nell'intervallo 3-7%. [1] L'obiettivo di questo studio era quello di aumentare la resistenza meccanica di una vite peduncolare ottimizzando la sollecitazione della vite filettata per migliorare le proprietà di resistenza.
Per saperne di più sulla European Society of Biomechanics
Sebbene la strumentazione con barre per viti peduncolari rappresenti ancora lo standard di riferimento per il trattamento di una vasta gamma di patologie degenerative spinali, l'ancoraggio nella colonna vertebrale degli anziani con scarsa qualità ossea rimane difficile. Tuttavia, non sono disponibili modelli per valutare l'influenza specifica dei parametri di progettazione delle viti sull'interfaccia vite-osso peduncolare. Nel nostro studio, ci siamo rivolti a sviluppare modelli di microelemento finito numerico (µFE) basati su scansioni µCT per esaminare l'interfaccia ossea della vite a livello di microscala.
Per saperne di più sul Journal of BiomechanicsLa vite Ennovate® PentaCore® è il nuovo benchmark nel mercato dei sistemi di viti peduncolari. Le viti Ennovate hanno una forza di pullout, di resistenza al taglio e una resistenza complessiva significativamente più elevate rispetto alle altre viti attualmente disponibili sul mercato, conclude uno studio pubblicato di recente sul Journal of Biomechanics.
Less is more - L'aumento dei costi e della complessità dei processi ospedalieri costringe gli ospedali a mappare e migliorare le loro strutture e i loro processi e ad aumentare la qualità e la sicurezza del trattamento nell'assistenza ai pazienti. L'implementazione di progetti efficienti per l'aumento complessivo dell'efficienza, nonché i miglioramenti della qualità e dei processi sembrano essere un fattore chiave importante.
La chirurgia spinale sta cambiando: le crescenti richieste di trattamento stanno rendendo i processi ospedalieri più complessi e tutti i reparti ne sono interessati. Gli ospedali hanno bisogno di più di un semplice prodotto: hanno bisogno di soluzioni sostenibili che migliorino il lavoro quotidiano per affrontare le sfide della chirurgia spinale. Ed è qui che entra in gioco Ennovate®.
Con la filosofia di un'unica vite, un unico sistema, un'unica piattaforma per tutti i processi, la piattaforma modulare Ennovate® offre soluzioni sistemiche e personalizzate per tutte le indicazioni e le tecniche e per tutte le attuali sfide in sala operatoria e in ospedale. Presentando i risultati di uno studio internazionale condotto in 95 centri di chirurgia vertebrale, questo documento pubblicato su Spine Journal 2017 esamina e riconosce la soluzione offerta dalla piattaforma Ennovate®.
Ulteriori informazioni in formato PDFLe soluzioni sistemiche sono il futuro della chirurgia spinale! Questo articolo pubblicato su Spinal News International nel dicembre 2017 sottolinea i vantaggi di disporre di una piattaforma modulare e personalizzabile per affrontare le attuali sfide dell'intero flusso di lavoro in sala operatoria e in ospedale attraverso un'ampia gamma di indicazioni.